Knee replacement, also known as knee arthroplasty, is a surgical procedure to replace the weight-bearing surfaces of the knee joint to relieve pain and disability. It is most commonly performed for osteoarthritis,[1] and also for other knee diseases such as rheumatoid arthritis and psoriatic arthritis. In patients with severe deformity from advanced rheumatoid arthritis, trauma, or long-standing osteoarthritis, the surgery may be more complicated and carry higher risk. Osteoporosis does not typically cause knee pain, deformity, or inflammation and is not a reason to perform knee replacement
Other major causes of debilitating pain include meniscus tears, cartilage defects, and ligament tears. Debilitating pain from osteoarthritis is much more common in the elderly.
Knee replacement surgery can be performed as a partial or a total knee replacement. In general, the surgery consists of replacing the diseased or damaged joint surfaces of the knee with metal and plastic components shaped to allow continued motion of the knee.
The operation typically involves substantial postoperative pain, and includes vigorous physical rehabilitation. The recovery period may be 6 weeks or longer and may involve the use of mobility aids (e.g. walking frames, canes, crutches) to enable the patient’s return to preoperative mobility.
Medical uses

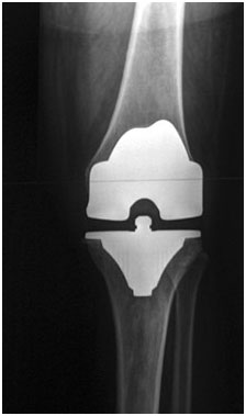
X-ray of total knee replacement, anterior-posterior (front to back) view.

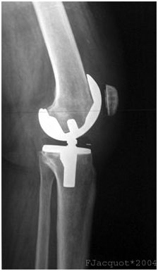
X-ray of total knee replacement, lateral (side) view.

The incision for knee replacement surgery
Knee replacement surgery is most commonly performed in people with advanced osteoarthritis and should be considered when conservative treatments have been exhausted. Total knee replacement is also an option to correct significant knee joint or bone trauma in young patients. Similarly, total knee replacement can be performed to correct mild valgus or varus deformity. Serious valgus or varus deformity should be corrected by osteotomy. Physical therapy has been shown to improve function and may delay or prevent the need for knee replacement. Pain is often noted when performing physical activities requiring a wide range of motion in the knee joint.
Risks
Risks and complications in knee replacement are similar to those associated with all joint replacements. The most serious complication is infection of the joint, which occurs in <1% of patients. Risk factors for infection are related to both patient and surgical factors. Deep vein thrombosis occurs in up to 15% of patients, and is symptomatic in 2–3%. Nerve injuries occur in 1–2% of patients. Persistent pain or stiffness occurs in 8–23% of patients. Prosthesis failure occurs in approximately 2% of patients at 5 years.
There is increased risk of complications for obese people going through total knee replacement. The morbidly obese should be advised to lose weight before surgery and, if medically eligible, would probably benefit from bariatric surgery.
Fracturing or chipping of the polyethylene platform between the femoral and tibial components may be of concern. These fragments may become lodged in the knee and create pain or may move to other parts of the body. Advancements in implant design have greatly reduced these issues but the potential for concern is still present over the lifespan of the knee replacement.
Deep vein thrombosis
According to the Joshi Hospital of Orthopedic Surgeons deep vein thrombosis in the leg is “the most common complication of knee replacement surgery… prevention… may include periodic elevation of patient’s legs, lower leg exercises to increase circulation, support stockings and medication to thin your blood.”
Fractures
Periprosthetic fractures are becoming more frequent with the aging patient population and can occur intraoperatively or postoperatively.
Loss of motion
The knee at times may not recover its normal range of motion (0–135 degrees usually) after total knee replacement. Much of this is dependent on pre-operative function. Most patients can achieve 0–110 degrees, but stiffness of the joint can occur. In some situations, manipulation of the knee under anesthetic is used to reduce post operative stiffness. There are also many implants from manufacturers that are designed to be “high-flex” knees, offering a greater range of motion.
Instability
In some patients, the kneecap is unrevertable post-surgery and dislocates to the outer side of the knee. This is painful and usually needs to be treated by surgery to realign the kneecap. However this is quite rare.
In the past, there was a considerable risk of the implant components loosening over time as a result of wear. As medical technology has improved however, this risk has fallen considerably.
Infection
The current classification divides prosthetic infections into four types.
- Type 1 (positive intraoperative culture): Two positive intraoperative cultures
- Type 2 (early postoperative infection): Infection occurring within first month after surgery
- Type 3 (acute hematogenous infection): Hematogenous seeding of site of previously well-functioning prosthesis
- Type 4 (late chronic infection): Chronic indolent clinical course; infection present for more than a month

FDG-PET CT showing septic loosening of knee prothesis; the FDG-enrichment shows entensive inflammatory foci: demonstrative: the PET-image ist unlike the CT reconstruction not disturbed by the high radiation attenuation of the prothesis.
Modern diagnosis of infection around a total knee replacement is based on the Musculoskeletal Infection Society (MSIS) criteria.[11] They are:
1.There is a sinus tract communicating with the prosthesis; or 2. A pathogen is isolated by culture from at least two separate tissue or fluid samples obtained from the affected prosthetic joint; or
Four of the following six criteria exist:
1.Elevated serum erythrocyte sedimentation rate (ESR>30mm/hr) and serum C-reactive protein (CRP>10 mg/L) concentration,
2.Elevated synovial leukocyte count,
3.Elevated synovial neutrophil percentage (PMN%),
4.Presence of purulence in the affected joint,
5.Isolation of a microorganism in one culture of periprosthetic tissue or fluid, or
6.Greater than five neutrophils per high-power field in five high-power fields observed from histologic analysis of periprosthetic tissue at ×400 magnification.
None of the above laboratory tests has 100% sensitivity or specificity for diagnosing infection. Specificity improves when the tests are performed in patients in whom clinical suspicion exists. ESR and CRP remain good 1st line tests for screening (high sensitivity, low specificity). Aspiration of the joint remains the test with the highest specificity for confirming infection.
The choice of treatment depends on the type of prosthetic infection.
- Positive intraoperative cultures: Antibiotic therapy alone
- Early post-operative infections: debridement, antibiotics, and retention of prosthesis.
- Acute hematogenous infections: debridement, antibiotic therapy, retention of prosthesis.
- Late chronic: delayed exchange arthroplasty. Surgical débridement and parenteral antibiotics alone in this group has limited success, and standard of care involves exchange arthroplasty.
Appropriate antibiotic doses can be found at the following instructional course lecture by AAOS
Pre-operative preparation
To indicate knee replacement in case of osteoarthritis, its radiographic classification and severity of symptoms should both be substantial. Such radiography should consist of weightbearing X-rays of both knees- AP, Lateral, and 30 degrees of flexion. AP and lateral views may not show joint space narrowing, but the 30 degree flexion view is most sensitive for narrowing. Full length projections are also used in order to adjust the prosthesis to provide a neutral angle for the distal lower extremity. Two angles used for this purpose are:
- Hip-knee-shaft angle (HKS), an angle formed between a line through the longitudinal axis of the femoral shaft and its mechanical axis, which is a line from the center of the femoral head to the intercondylar notch of the distal femur.
- Hip-knee-ankle angle (HKA), which is an angle between the femoral mechanical axis and the center of the ankle joint.

The patient is to perform range of motion exercises and hip, knee and ankle strengthening as directed daily. Before the surgery is performed, pre-operative tests are done: usually a complete blood count, electrolytes, APTT and PT to measure blood clotting, chest X-rays, ECG, and blood cross-matching for possible transfusion. About a month before the surgery, the patient may be prescribed supplemental iron to boost the hemoglobin in their blood system. Accurate X-rays of the affected knee are needed to measure the size of components which will be needed. Medications such as warfarinand aspirin will be stopped some days before surgery to reduce the amount of bleeding. Patients may be admitted on the day of surgery if the pre-op work-up is done in the pre-anesthetic clinic or may come into hospital one or more days before surgery. Currently there is insufficient quality evidence to support the use of pre-operative physiotherapy in older adults undergoing total knee arthroplasty.
Preoperative education is currently an important part of patient care. There is some evidence that it may slightly reduce anxiety before knee replacement surgery, with low risk of detrimental effects.
Weight loss surgery before a knee replacement does not appear to change outcomes.
Angles commonly measured before knee replacement surgery:
- Hip-knee-shaft angle (HKS)
- Hip-knee-ankle angle (HKA)
Technique

Femoral replacement

Post operative Pain Control
The regional analgesia techniques (Neuraxial anesthesia or Continuous femoral nerve block[22] or Adductor canal block) are used most commonly.[23] Local anesthesia infiltration in the pericapsular area using liposomal bupivacaine has been shown to provide good analgesia in post operative period without increasing the risk for instability or nerve injury.[24] There are studies which used combined approach of local infiltration analagesia and femoral nerve block to achieve multimodal analagesia.
Variations
Different implant manufacturers require slightly different instrumentation and technique. No consensus has emerged over which one is the best. Clinical studies are very difficult to perform, requiring large numbers of cases followed over many years. The most significant variations are between cemented and uncemented components and between resurfacing the patella or not. Among those who do not resurface the patella, there is also variation between denervating the patella using electrocautery or not. In theory, this technique could disrupt the superficial pain receptors near the patella in hopes of relieving anterior knee pain, a common post-operative complaint. No consensus exists, but a recent randomized controlled trial indicates that while both methods provide relief, patellar denervation results in a modest benefit compared to no denervation in the short-term. The patient satisfaction was higher with more number of patients rating the procedure as excellent in the denervation group (74.6% vs 50.8%). The benefit does not, however, persist mid- to long-term post-operatively. Anterior knee pain component within the patellar score and Visual Analogue Scale for anterior knee pain were significantly better in the denervation group at 3 months (4.5 vs 5.1) but not at 12 months (4.4 vs 4.9) and 24 months (2.1 vs. 2.2).
Some also study patient satisfaction data associated with pain. Retaining the posterior cruciate ligament (PCL) has been shown to be beneficial for patients. Removal of the PCL has been shown to reduce the maximal force that the individual can place on that knee. Typically individuals who have the PCL removed will lean forward while climbing in order to maximize the force of the quadriceps.
Minimally invasive procedures have been developed in total knee replacement (TKR) that do not cut the quadriceps tendon. There are different definitions of minimally invasive knee surgery, which may include a shorter incision length, retraction of the patella (kneecap) without eversion (rotating out), and specialized instruments. There are few randomized trials, but studies have found less postoperative pain, shorter hospital stays, and shorter recovery. However, no studies have shown long-term benefits.
In 2015 The OGAAP team from Sydney Australia led by Dr Al Muderis presented a revolutionary technology for the first time enabling the use of knee replacement in combination with percutaneous bone anchoring device enabling amputees with short residual tibia and or knee joint arthritis to mobilise with ease. This technology provided a solution for individuals with amputation who are unable to wear a traditional socket prosthesis.
Partial knee replacement
Unicompartmental arthroplasty (UKA), also called partial knee replacement, is an option for some patients. The knee is generally divided into three “compartments”: medial (the inside part of the knee), lateral (the outside), and patellofemoral (the joint between the kneecap and the thighbone). Most patients with arthritis severe enough to consider knee replacement have significant wear in two or more of the above compartments and are best treated with total knee replacement.[28] A minority of patients (the exact percentage is hotly debated but is probably between 10 and 30 percent) have wear confined primarily to one compartment, usually the medial, and may be candidates for unicompartmental knee replacement. Advantages of UKA compared to TKA include smaller incision, easier post-op rehabilitation, better post-operative range of motion, shorter hospital stay, less blood loss, lower risk of infection, stiffness, and blood clots, but a harder revision if necessary. While most recent data suggests that UKA in properly selected patients has survival rates comparable to TKA, most surgeons believe that TKA is the more reliable long term procedure. Persons with infectious or inflammatory arthritis (Rheumatoid, Lupus, Psoriatic), or marked deformity are not candidates for this procedure.
Post-operative evaluation
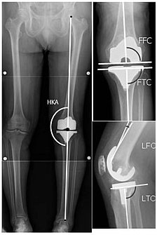
HKA: Hip-knee-ankle angle
FFC: frontal femoral component angle
FTC: frontal tibial component angle
LFC: lateral femoral component angle
LTC: lateral tibial component angle
Knee replacement is routinely evaluated by X-ray, including the following measures:
- - HKA: Hip-knee-ankle angle, which is ideally between 3° varumto 3° valgum from a right angle.
- - FFC: frontal femoral component angle. It is typically regarded as optimal when being 2–7° in valgus.
- - FTC: frontal tibial component angle, which is regarded as optimal when being at a right angle. A varus position of more than 3° has generally been found to increase the failure rate of the prosthesis.
- - LFC: lateral (or sagittal) femoral component angle
- - LTC: lateral (or sagittal) tibial component angle, which is ideally positioned so that the tibia is 0–7° flexed compared to at a right angle with the tibial plate.

Post-operative rehabilitation
The length of post-operative hospitalization is 5 days on average depending on the health status of the patient and the amount of support available outside the hospital setting. Protected weight bearing on crutches or a walker is required until specified by the surgeon because of weakness in the quadriceps muscle
To increase the likelihood of a good outcome after surgery, multiple weeks of physical therapy is necessary. In these weeks, the therapist will help the patient return to normal activities, as well as prevent blood clots, improve circulation, increase range of motion, and eventually strengthen the surrounding muscles through specific exercises. Whether techniques such as neuromuscular electrical stimulation are effective at promoting gains in knee muscle strength after surgery are unclear. Often range of motion (to the limits of the prosthesis) is recovered over the first two weeks (the earlier the better). Over time, patients are able to increase the amount of weight bearing on the operated leg, and eventually are able to tolerate full weight bearing with the guidance of the physical therapist. After about ten months, the patient should be able to return to normal daily activities, although the operated leg may be significantly weaker than the non-operated leg.
For post-operative knee replacement patients, immobility is a factor precipitated by pain and other complications. Mobility is known as an important aspect of human biology that has many beneficial effects on the body system. It is well documented in literature that physical immobility affects every body system and contributes to functional complications of prolonged illness. In most medical-surgical hospital units that perform knee replacements, ambulation is a key aspect of nursing care that is promoted to patients. Early ambulation can decrease the risk of complications associated with immobilization such as pressure ulcers, deep vein thrombosis (DVT), impaired pulmonary function, and loss of functional mobility. Nurses’ promotion and execution of early ambulation on patients has found that it greatly reduces the complications listed above, as well as decreases length of stay and costs associated with further hospitalization. Nurses may also work with teams such as physical therapy and occupational therapy to accomplish ambulation goals and reduce complications.
Continuous passive motion (CPM) is a postoperative therapy approach that uses a machine to move the knee continuously through a specific range of motion, with the goal of preventing joint stiffness and improving recovery. There is no evidence that CPM therapy leads to a clinically significant improvement in range of motion, pain, knee function, or quality of life. CPM is inexpensive, convenient, and assists patients in therapeutic compliance. However, CPM should be used in conjunction with traditional physical therapy. In unusual cases where the person has a problem which prevents standard mobilization treatment, then CPM may be useful.
Cryotherapy, also known as ‘cold therapy’ is sometimes recommended after surgery for pain relief and to limit swelling of the knee. Cryotherapy involves the application of ice bags or cooled water to the skin of the knee joint. However, the evidence that cryotherapy reduces pain and swelling is very weak and the benefits after total knee replacement surgery have been shown to be very small.
Some physicians and patients may consider having ultrasonography for deep venous thrombosis after knee replacement. However, this kind of screening should be done only when indicated because to perform it routinely would be unnecessary health care. If a medical condition exists that could cause deep vein thrombosis, a physician can choose to treat patients with cryotherapy and intermittent pneumatic compression as a preventive measure.
Neither gabapentin nor pregabalin have been found to be useful for pain following a knee replacement.
